Health Events Local 2026-04-16T17:31:00+00:00

Mendoza Congress to Discuss Revolutionary Leukemia Treatments

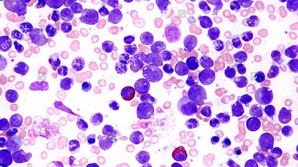
The 6th Latin American Group for Chronic Lymphocytic Leukemia Congress is being held in Mendoza. Scientists are discussing the shift from chemotherapy to targeted and combination treatments that offer high efficacy and minimal impact on patients' quality of life.


Mendoza Congress to Discuss Revolutionary Leukemia Treatments

This knowledge allows us to improve existing treatments, discover new therapeutic targets, and develop more effective options for patients with Chronic Lymphocytic Leukemia (CLL). Dr. Silvana Cugliari, head of the Hematology Department at the 'Ángel H. Roffo' Oncology Institute-UBA, stated: 'One of the key axes of this congress will be the paradigm shift in CLL treatment towards a post-chemotherapy era. With the advent of targeted therapies as monotherapy and recent studies that open the option of combining two or even three drugs (targeted therapies or immunotherapies) with complementary mechanisms of action, the latter show high efficacy over a limited period.' 'We are going through a stage where the standard of treatment ceases to be chemotherapy and is replaced by targeted therapies, whether as monotherapy and — more recently — with combined treatments that act synergistically. The evidence of the benefits of this strategy is very compelling and changes the way we approach this disease. The close collaboration between researchers and hematologists enhances the generation of knowledge with a real impact on clinical practice, accelerating the translation of laboratory discoveries to the direct benefit of patients.' The current challenge The current challenge is to identify which patient profile benefits most from each treatment option, in order to continue advancing towards increasingly personalized strategies. Therapeutic combinations in CLL result in time-limited, effective treatments with safety profiles consistent with those observed for each drug individually, which translates to better tolerance and the possibility of maintaining a normal life, compared to historical chemotherapy regimens. On this point, Dr. Cugliari emphasized that 'the availability of chemotherapy-free regimens represents an extremely significant advance, as it allows for more precise treatment with less impact on quality of life'. In this process, teamwork is essential. Another point to highlight is the duration of treatment in these combined regimens. Unlike in pathologies where treatment must be sustained indefinitely or until the patient stops responding, some of these regimens are administered for determined periods — of 1 or 2 years — and then are discontinued, in many cases maintaining disease control, always under medical follow-up. The 6th Congress of the Latin American Group of Chronic Lymphocytic Leukemia (LAG-CLL Meeting 2026) is an ideal space to analyze all these novelties,' explained Dr. Miguel A. Pavlovsky, Scientific Director of FUNDALEU. In turn, Dr. Romina Gamberale, a CONICET researcher at the Institute of Experimental Medicine (IMEX), indicated: 'Basic and translational research is key to better understanding how malignant cells function and how they interact with their environment.'

Latest news

See all news